3D Crowns & Restorations
Smile Creations has always been at the forefront of dental technology, and now we have added another piece to our technological puzzel in 3D Printing.
3D printing technology has come a long way from printing models and toys. Now with newer, stronger and improved resins we are able to print Crowns, Dentures, Splints and so much more.
This allows us to print many restorations in office that had to be sent to a dental lab, which cuts the time it takes to complete your treatment considerably.
Prep-less Veneers
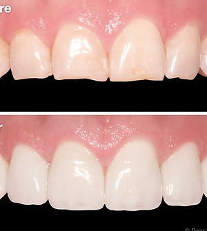
Do you have chipped, discolored, teeth? Do you have gaps between your teeth? Have you ever dreamed of the perfect, bright smile but didn't want to grind your teeth down to fit them?
Now with 3D printing, we can fabricate ultra thin veneers that require minimal to no preparation of the teeth, and can sometimes be placed the same day.
Call our office at 920-725-3592 for a consult to see if Prep-less Veneers are for you.


Crowns
The developement of new resins with ceramic particles added to them, has greatly increased the strength and wear resistance so we can use them as permanent crowns.
In 1 - hour and a half appointment we can make your crown and permanently cement.
It is as easy as that.
Dentures & Splints
Through 3D printing, we can custom print dentures and occlusal splints to fit, look and work better in half the time it takes when using a dental lab.








